Home » Without Label » Endometriosis Ct - Cureus Abdominal Wall Endometriosis A Case Report - The ct and mr characteristics of abdominal wall endometriosis are nonspecific, both showing a solid enhancing mass in the abdominal wall.
Endometriosis Ct - Cureus Abdominal Wall Endometriosis A Case Report - The ct and mr characteristics of abdominal wall endometriosis are nonspecific, both showing a solid enhancing mass in the abdominal wall.
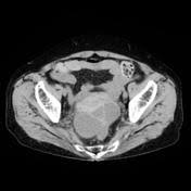
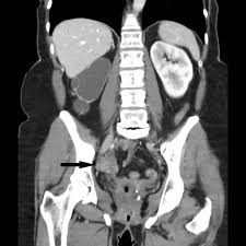
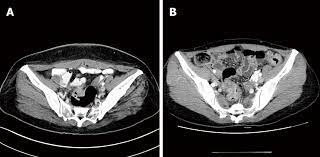
Endometriosis Ct - Cureus Abdominal Wall Endometriosis A Case Report - The ct and mr characteristics of abdominal wall endometriosis are nonspecific, both showing a solid enhancing mass in the abdominal wall.. Endometriosis can invade organs that are near the uterus which can include the bowel and the urinary bladder. Tell the healthcare provider if you have ever had an allergic reaction to contrast liquid. Endometriosis is a painful condition in which tissue that normally lines your uterus (endometrial tissue) grows in other parts of your pelvis, such as your ovaries or fallopian tubes. Reproductive medicine associates of connecticut with fertility clinics in connecticut and new york. This type of endometriosis is called, deeply infiltrating or deeply infiltrative endometriosis die because it is found deep within the tissue or organ.
Ct scans and the diagnosis of endometriosis ct scans can be used to visualize endometriosis in some areas of the abdomen, but are not very efficient in visualizing the pelvic organs, such as the uterus. Reproductive medicine associates of connecticut with fertility clinics in connecticut and new york. Ct hrct is the modality of choice for thoracic endometriosis, which may demonstrate presence of pneumothorax, hemothorax or nodules which may change in nature cyclically. Detection and localization of deep endometriosis by means of mri and correlation with the enzian score. Moreover, the appearance of implants and endometriomas is.
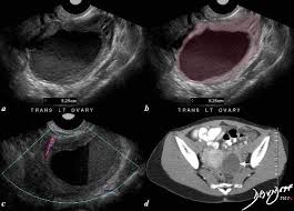
The Radiology Assistant Endometriosis Mri Detection from radiologyassistant.nl B, ct scan shows a nonspecific mass involving the right rectus muscle (arrow) subsequently proven to be endometriosis. After taking your medical and symptom history, and after performing a pelvic exam, your provider may recommend imaging. A ct or mri may show the endometriosis. Unusual sites of implantation and associated complications may make. Ct, endometriosis, female pelvis, mri, ultrasound. Endometriosis is a painful condition in which tissue that normally lines your uterus (endometrial tissue) grows in other parts of your pelvis, such as your ovaries or fallopian tubes. It can get worse before and during your period. An ultrasound, a ct scan, or an mri can make detailed pictures of your organs.
It can get worse before and during your period.
The new york endometriosis center which is one of the leading endometriosis treatment and gynecologic surgery centes in the world with offices in new york and greenwich. The ct and mr characteristics of abdominal wall endometriosis are nonspecific, both showing a solid enhancing mass in the abdominal wall. The most common sign of endometriosis is pain in your lower belly that doesn't go away. Endometriosis happens when the endometrium, tissue that usually lines the inside of your uterus, grows outside it. The most common symptom is pelvic pain. Endometriosis is a condition in which the inner lining of the uterus (endometrium) grows outside the uterus in locations such as the fallopian tubes, ovaries, bladder, or. Ct scans and the diagnosis of endometriosis ct scans can be used to visualize endometriosis in some areas of the abdomen, but are not very efficient in visualizing the pelvic organs, such as the uterus. The use of ultrasounds, magnetic resonance imaging (mri), computerized tomography (ct scan), and certain endometrial biopsy samples may be used as part of a diagnostic workup, but to date, anything less than surgical confirmation of endometriosis is considered uncertain. Tell the healthcare provider if you have ever had an allergic reaction to contrast liquid. It is a painful chronic disease that is estimated to affect 10% of women of all ages and backgrounds during their reproductive years. There are also no specific blood tests to diagnose endometriosis. Imaging exams, such as ultrasound, mri, or ct scans are used to take pictures of the inside of your body. An ultrasound, a ct scan, or an mri can make detailed pictures of your organs.
Ob/gyns located in westport, ct & fairfield, ct endometriosis is one of the most common lower abdomen conditions women have, and it's responsible for heavy, painful periods and some cases of infertility. The most common sign of endometriosis is pain in your lower belly that doesn't go away. Ct hrct is the modality of choice for thoracic endometriosis, which may demonstrate presence of pneumothorax, hemothorax or nodules which may change in nature cyclically. Endometriosis affects an estimated 2 to 10 percent of american women between the ages of 25 and 40. Unusual sites of implantation and associated complications may make.
Cureus Appendicitis Caused By Endometriosis Within The Bowel Wall from assets.cureus.com Plain film radiography, computed tomography (ct) scanning, and barium studies are not sensitive for the diagnosis of endometriosis. Detection and localization of deep endometriosis by means of mri and correlation with the enzian score. The most common symptom is pelvic pain. Ct hrct is the modality of choice for thoracic endometriosis, which may demonstrate presence of pneumothorax, hemothorax or nodules which may change in nature cyclically. Tell the healthcare provider if you have ever had an allergic reaction to contrast liquid. A ct or mri may show the endometriosis. This type of endometriosis is called, deeply infiltrating or deeply infiltrative endometriosis die because it is found deep within the tissue or organ. Endometriosis is a condition in which the inner lining of the uterus (endometrium) grows outside the uterus in locations such as the fallopian tubes, ovaries, bladder, or other structures in the pelvis, causing pain, irregular bleeding, and possible infertility
Although the ovary is the most common site of involvement, endometriotic implants may occur in other locations outside the pelvis.
Treatment options include surgery and hormones. An ultrasound, a ct scan, or an mri can make detailed pictures of your organs. Unusual sites of implantation and associated complications may make. The most common symptom is pelvic pain. Reproductive medicine associates of connecticut with fertility clinics in connecticut and new york. Endometriosis is an important cause of chronic pelvic pain and infertility. Imaging exams, such as ultrasound, mri, or ct scans are used to take pictures of the inside of your body. A ct or mri may show the endometriosis. Learn about treatment, causes, stages, surgery, and diagnosis. Endometriosis is a painful condition in which tissue that normally lines your uterus (endometrial tissue) grows in other parts of your pelvis, such as your ovaries or fallopian tubes. Ct, endometriosis, female pelvis, mri, ultrasound. Endometriosis is an important gynecologic disorder primarily affecting women during their reproductive years. You may be given contrast liquid to help your abdomen show up better in the pictures.
Moreover, the appearance of implants and endometriomas is. Do not enter the mri room with anything metal. Treatment options include surgery and hormones. An ultrasound, a ct scan, or an mri can make detailed pictures of your organs. After taking your medical and symptom history, and after performing a pelvic exam, your provider may recommend imaging.
Fdg Pet Value In Deep Endometriosis Gynecological Surgery Full Text from media.springernature.com This type of endometriosis is called, deeply infiltrating or deeply infiltrative endometriosis die because it is found deep within the tissue or organ. It may vary from microscopic endometriotic implants to large cysts (endometriomas). After taking your medical and symptom history, and after performing a pelvic exam, your provider may recommend imaging. Although the ovary is the most common site of involvement, endometriotic implants may occur in other locations outside the pelvis. Endometriosis is a painful condition in which tissue that normally lines your uterus (endometrial tissue) grows in other parts of your pelvis, such as your ovaries or fallopian tubes. Endometriosis is a condition in which the type of tissue that forms the lining of the uterus (the endometrium) is found outside the uterus. Learn about treatment, causes, stages, surgery, and diagnosis. An ultrasound, a ct scan, or an mri can make detailed pictures of your organs.
Endometriosis is derived from the word endometrium, which is the tissue that lines the uterus.
The most common symptom is pelvic pain. Plain film radiography, computed tomography (ct) scanning, and barium studies are not sensitive for the diagnosis of endometriosis. This type of endometriosis is called, deeply infiltrating or deeply infiltrative endometriosis die because it is found deep within the tissue or organ. Endometriosis is an important cause of chronic pelvic pain and infertility. The most common symptom of thoracic endometriosis is chest pain occurring right before or during menstruation. To diagnose endometriosis in the bowel, a physician conducts an examination that includes a vaginal examination, ultrasound, and a ct or mri scan. You may be given contrast liquid to help your abdomen show up better in the pictures. Tell the healthcare provider if you have ever had an allergic reaction to contrast liquid. Endometriosis is derived from the word endometrium, which is the tissue that lines the uterus. Endometriosis is defined as the presence of endometrial glandular and/or stromal cells outside of the uterine cavity. Learn about treatment, causes, stages, surgery, and diagnosis. The ct and mr characteristics of abdominal wall endometriosis are nonspecific, both showing a solid enhancing mass in the abdominal wall. The most common sign of endometriosis is pain in your lower belly that doesn't go away.
Endometriosis can invade organs that are near the uterus which can include the bowel and the urinary bladder endometriosis. It can get worse before and during your period.